FRCR Part 2B (Radiology) - sample image
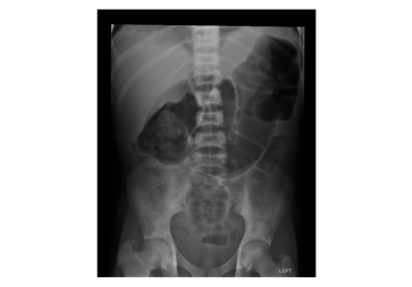
LEARN MOREThis abdominal radiograph is an example of the cases a candidate may be shown in the Final FRCR (Part B) oral examination.
Candidates may be told that the patientpresented with abdominal pain and would be expected to identify the skeletal abnormality which leads to the diagnosis of sickle cell anaemia. Candidates may then be asked to discuss the possible causes of abdominal pain in a patient with this
underlying diagnosis. Candidates will not be required to window, zoom or otherwise manipulate this particular image in order to make a diagnosis.
